「より良い歯科診療を」 自由診療の平沼歯科医院です

医院の特色

患者様の希望に沿った 質の高い「審美治療」

審美歯科治療

ただ作るだけで終わらない 使い続けられる、体の一部となる

入れ歯

歯周病・口臭を クスリで改善していく

歯周内科治療

「大切な歯」を守るため 最小限の切除と最高のパフォーマンスを

MI治療

私たちは、しっかりとした治療を丁寧に行います。
一番大切な人を思って治療を行います。

一番大切な人に施してあげたい、
歯科医師自らが受けたいと思う治療をモットーに診療を行っております。
千葉県東金市にある平沼歯科医院は従来の公共機関的な医療機関と違う、
患者さまお一人おひとりにフルオーダーの歯科医療をサービスしたく思い、日々努力してまいります。
歯の心配ごとや不安、私たちにお話しください。私たちが一緒に悩み、解決いたします。

  • Point01

    自由診療専門

  • Point02

    プライベート(個別)診療

  • Point03

    診療時間予約制

医院の特色

その悩み、私たちも一緒に考えます

難しいと思われることも、一度平沼歯科医院に相談してみてください

01 気になる事を気軽に話せる
安心して診療を受けられるために

私どもでは、患者様との治療におけるコミュニケーションを大事にしております。わからないことや、不安なこと、もしくは「こんな事聞いてもいいのかな?」という事について、些細なことでもどうぞお気軽にお話しください。
私たちは安心して相談できる、ホームドクターでありたいと思っております。

初めての方へ

02 上質な歯科治療のために

上質な歯科治療を提供するために、快適で心安らかに治療を受けていただくために、院内設備にチカラを入れています。また、一時的な改善ではなく、根本的に改善できるよう必要に応じた設備を導入しています。
その他に平沼歯科医院では治療を受けるユニットチェアをはじめ様々な快適設備を導入し、快適な治療空間を目指しております。

設備紹介

03 良心的な価格設定

通常の保険診療では使用できる材料から方法まで限定されているため、限られた範囲の治療になってしまいます。平沼歯科医院では自由診療(手間と時間をかけた精密治療)を取り入れ、できるだけ低価格(良心的な価格)の設定をさせていただいております。
独自の方法だからこそ、良質な治療と良心的な価格が可能になります。
初診時に見積書をお渡しします。

料金・保証について

診療のご案内

お口の中で困っている事はどうぞご遠慮なさらず、お悩みをご相談ください。
私たちは患者様のご希望に一番合った治療方法をご提案したいと思っております。

MI治療

歯は1度削ると元には戻りません。削った後に、詰め物や被せ物等で、元の機能を回復できるように治療していきます。 しかしながらどんなに高品質の治療でも御自分の天然歯に勝るものは無いと思います。
当医院では、オゾンやレーザー、顕微鏡等を併用し削る部分を最小限に抑えた精密な治療を心がけております。

MI治療

症例紹介

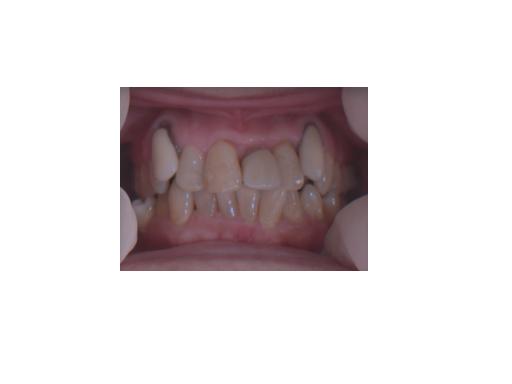
前歯のセラミック治療

症状 前歯をセラミックにしたい。以前治療した所の形や色が気になるので、きれいに整えたい。
治療方法 セラミッククラウンでご希望の色・形に治療しました。
治療のリスク セラミックは極端に硬いものを噛んだ場合に欠ける事もあります。修理は可能です。
費用 924,000円(税込)
備考 歯の形は御本人と一緒に話し合い、一番気に入った形に仕上がるよう決めています。セラミックの色はホワイトニングをして白くなった歯に合わせて決めました。
年代 50代
性別 女性
Before
After

症例紹介一覧

  • よくあるご質問

    当院に多く寄せられるご質問に、一問一答形式でお答えしております。
    診療内容やお悩み、診療中の痛みに関することなど詳しくお答えしておりますので、ぜひご確認ください。

    よくある質問

  • 医療費控除について

    医療費控除とは、自分自身や家族のために支払った医療費の一部を所得税から控除できる制度です。
    当院での自費診療も医療費控除の対象になります。

    医療費控除

医院情報

医院名 医療法人社団仁珠会 平沼歯科医院
院長 平沼 久
住所 〒283-0005 千葉県東金市田間3-24-12
ご予約用 080-5480-4182
Tel&Fax 0475-54-4182
医療連携協力医療機関 東京歯科大学千葉歯科医療センター
診療時間
11:00-18:00

:12:00‐17:00 ※診療時間予約制です

当院は自由診療専門医院です。

〒283-0005 千葉県東金市田間3-24-12

ご予約用
080-5480-4182
Tel&Fax
0475-54-4182

※当院は自由診療専門医院です。

診療時間
平日 11:00-18:00
土/日 12:00-17:00
休診日
木/祝

アクセス